Case of the month
WOPN drainage and necrosectomy
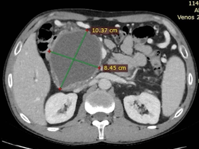
A 53-year-old man, smoker, with an episode of severe acute pancreatitis of uncertain etiology, complicated by a giant pancreatic collection, compressive at the gastric level, with necrosis inside (walled-off pancreatic necrosis) (Fig. 1-3).
Other conditions associated are represented by: arterial hypertension, psoriasis vulgaris and psoriatic arthritis for which he followed biological treatment with Guselkumab for 2 years.
What you can learn

Ultrasonography

Endoscopy

Ecoendoscopy

Nursing
Future events
About us
Who are we? A team of enthusiastic health professionals that provide a variety of educational resources to those interested in the field of gastroenterology.
GastroCloud was born from the desire to offer the best quality and up-to-date information to help you learn quickly and easily in the era of “fast forward”. In this educational platform you will find various and interactive sections – the case of the month, clinical cases, tutorials, testing knowledge through quick quizzes, medical events and much more.



