Cazul lunii
Over-the-scope-clip duodenal
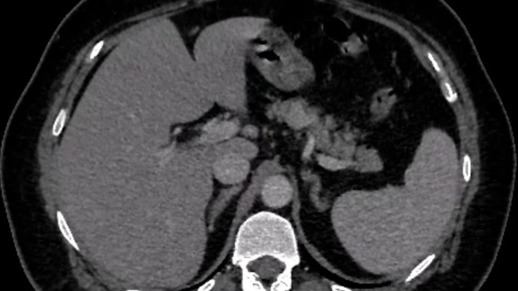
Bărbat in vârstă de 70 de ani, internat pentru vărsături și diaree, simptome debutate cu 24h anterior prezentării. Fără dureri abdominale, fără febra sau frisoane. Istoricul medical descrie fibrilație atrială si mutație a protrombinei cu multiple episoade de embolie pulmonara (tratament cu Acenocumarol la domiciliu); insuficienta cardiaca cronica; hipertensiune arteriala; hipertensiune pulmonara; proteza de genunchi drept cu multiple intervenții chirurgicale, inclusiv episod de sepsis – tratament cronic antibiotic la domiciliu (Amoxicilină + Tetraciclină); tulburare neurocognitivă.
Ce poți
învăța

Ultrasonografie

Endoscopie

Ecoendoscopie

Nursing
Evenimente viitoare
Despre noi
Cine suntem noi? O comunitate de oameni entuziaști care dorește sa pună la dispoziția altor profesioniști din domeniul gastroenterologiei o varietate de resurse educaționale.
GastroCloud s-a născut din dorința de a oferi informații de cea mai bună calitate și actualizate care să ajute la învățarea rapidă și facilă în zilele în care totul se desfășoară “pe repede înainte”. În această platformă educațională veți regăsi secțiuni diverse și interactive – cazul lunii, cazuri clinice, tutoriale, testarea cunoștințelor prin quiz-uri rapide, evenimente de interes și multe altele.
Pentru că ne dorim să creștem această comunitate, vă invităm și să participați activ, contribuind cu cazuri sau videoclipuri sau orice alt subiect interesant.



