Vezi și alte cazuri
Fish-mouth papilla
Pacient în vârstă de 70 de ani, fost consumator cronic de etanol, nefumător, cu istoric de bronșită cronică și hiperplazie benignă de prostată, se prezintă pentru dureri epigastrice și steatoree, cu debut progresiv de aproximativ 3 luni. Din antecedentele recente se reține efectuarea unei ecografii abdominale, care a ridicat suspiciunea prezenței unei formațiuni tumorale la nivel cefalopancreatic.
Examen clinic:
Abdomen sensibil spontan și la palpare profundă la nivel epigastric, fără alte modificări clinice semnificative.
Investigații biologice:
Anemie ușoară normocromă, normocitară (Hb = 11,3 g/dL). CA 19-9, CEA, HbA1c în limite normale.
Imagistică prin rezonanță magnetică (IRM):
IRM abdominal evidențiază o mărire de volum a regiunii cefalice pancreatice, determinată de o formațiune tumorală cu componente solide și chistice, cu semnal hiperintens pe secvențele T2 și hipointens pe T1, prezentând arii de restricție de difuzie și captare neomogenă de gadoliniu la nivelul componentelor tisulare. Dimensiunile formațiunii sunt de aproximativ 65/50/60 mm.
Leziunea nu prezintă plan de clivaj față de duoden (potcoava duodenală) și peretele posterior gastric în regiunea antro-pilorică. Este în contact cu ductul pancreatic principal, care este dilatat pe întreg traiectul, predominant în segmentele corporo-cefalice, cu diametrul maxim de aproximativ 14 mm, conținând imagini hipointense declive, sugestive pentru conținut mucinos.
De asemenea, se remarcă dilatarea ductelor pancreatice secundare, a ductului coledoc și a căilor biliare intrahepatice. Nu se evidențiază invazie vasculară loco-regională; vasele mezenterice sunt permeabile, axul spleno-portal este permeabil și nedilatat. Se observă adenopatii mici, infracentimetrice, în regiunile celiacă și lombo-aortică. Fără lichid liber intraperitoneal.
Ecoendoscopic (EUS) s-a evidențiat:
- În imagine endoscopică:
-
- Aspect infiltrativ al mucoasei piloro-bulbare cu dificultate la pasajul ecoendoscopului la acest nivel;
- Aspect de tip „fish-mouth” al papilei duodenale;
- Evaluarea ecoendoscopică:
-
- Modificări infiltrative ale parenchimului pancreatic cu extensie parietală gastrică și bulbară;
- Parenchim pancreatic global atrofic;
- Duct pancreatic principal dilatat difuz, cu traiect tortuos, conținând material ecogen sugestiv pentru mucină, precum și imagini hiperecogene cu con acustic posterior mobilizabile cu vârful acului de puncție, sugestive pentru mucină calcificată;
- Dilatarea ductelor pancreatice secundare.
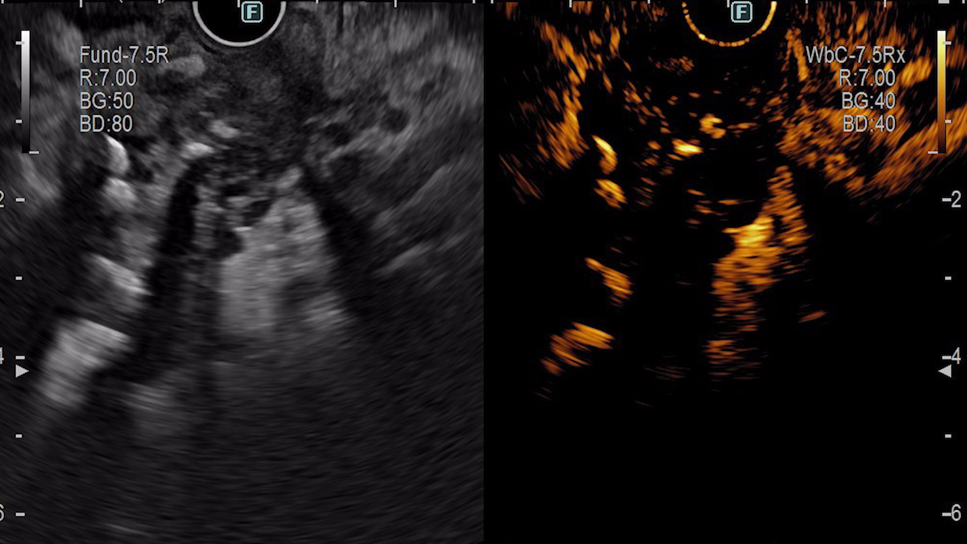
- Ecoendoscopie cu substanță de contrast (CE-EUS):
După administrarea intravenoasă a 4,8 mL SonoVue, se identifică la nivel cefalopancreatic o zonă hipocaptantă, imprecis delimitată, cu ecostructură neomogenă, cu dimensiuni de aproximativ 40/26 mm. Leziunea a fost puncționată ecoendoscopic (EUS-FNB), efectuându-se două pasaje cu ac de 22G (Acquire, Boston Scientific).
Examen histopatologic
Examinarea histopatologică a fragmentelor obținute prin puncție ecoendoscopică evidențiază leziuni sugestive pentru neoplasm papilar mucinos intraductal, cu displazie de grad scăzut, fără identificarea displaziei de grad înalt sau a semnelor certe de infiltrare neoplazică în materialul examinat.
- Neoplasm papilar mucinos intraductal de duct principal (MD-IPMN), cu displazie de grad scăzut;
- Pancreatită cronică.
Neoplasmul papilar mucinos intraductal (IPMN) reprezintă o entitate distinctă de neoplazie chistică pancreatică, caracterizată prin producție excesivă de mucină și dilatarea ductelor pancreatice, cu potențial variabil de transformare malignă, subtipul de duct principal (MD-IPMN) fiind asociat cu cel mai mare risc de progresie către adenocarcinom pancreatic. (1)
Leziunile chistice pancreatice sunt detectate tot mai frecvent datorită studiilor imagistice, cu o prevalență mai mare la IRM (19,9%), comparativ cu CT (2,6%). Pentru chisturi >5 mm, se recomandă caracterizarea detaliată prin CT cu protocol pancreatic sau IRM cu gadoliniu și colangiopancreatografie prin rezonanță magnetică (MRCP). MRCP este modalitatea diagnostică de elecție pentru evaluarea extensiei ductale, a relației cu structurile adiacente, permițând de asemenea identificarea septurilor, nodulilor murali și a comunicării cu ductele. De asemenea, utilizarea IRM pentru monitorizare repetată evită expunerea la radiații. (2)
EUS este recomandată pentru caracterizarea suplimentară a leziunii la pacienții care prezintă ”worrisome features” la evaluarea imagistică: diametrul chistului ≥3 cm, nodul mural captant <5 mm, pereți chistici îngroșați și captanți, duct pancreatic principal de 5–9 mm, modificarea bruscă a calibrului ductului pancreatic principal cu atrofie pancreatică distală, adenopatii, nivel seric crescut de CA19-9 și creștere rapidă a chistului (>5 mm/2 ani). (2)
Deși este prezent în doar aproximativ jumătate din cazuri, aspectul de fish-mouth papilla este considerat patognomonic pentru neoplasmul papilar mucinos intraductal (IPMN) al pancreasului și prezintă o specificitate ridicată de 91%. (3)
În cazul pacientului nostru, examenul histopatologic a evidențiat displazie de grad scăzut; totuși, heterogenitatea leziunii, precum și modificările reactive asociate inflamației din pancreatita cronică, pot conduce la subestimarea riscului real de malignizare, crescând astfel probabilitatea unui rezultat fals negativ. În acest context, decizia terapeutică nu trebuie fundamentată exclusiv pe rezultatul histologic, ci pe o corelare atentă a datelor clinice, imagistice și endoscopice. (4,5)
Având în vedere rata ridicată de malignitate asociată MD-IPMN, rezecția chirurgicală rămâne standardul de tratament pentru leziunile ductului principal. În practică, MD-IPMN cu diametru ≥10 mm reprezintă o indicație absolută pentru intervenție chirurgicală, în timp ce leziunile între 5 și 9,9 mm constituie o indicație relativă, care trebuie evaluată individual. (4)
În concluzie, cazul ilustrează importanța abordării multimodale în diagnosticul MD-IPMN și subliniază rolul central al ecoendoscopiei și IRM în identificarea criteriilor de risc, cu impact direct asupra deciziei terapeutice.
- Levink I, Bruno MJ, Cahen DL. Management of Intraductal Papillary Mucinous Neoplasms: Controversies in Guidelines and Future Perspectives. Curr Treat Options Gastroenterol. 2018 Sep;16(3):316–32.
- Tanaka M, Fernández-del Castillo C, Kamisawa T, Jang JY, Levy P, Ohtsuka T, et al. Revisions of international consensus Fukuoka guidelines for the management of IPMN of the pancreas. Pancreatology. 2017 Sep;17(5):738–53.
- Asokkumar R, Chin YK. Fish-Mouth Papilla. Clin Gastroenterol Hepatol. 2018 Sep;16(9):A34.
- European Study Group on Cystic Tumours of the Pancreas. European evidence-based guidelines on pancreatic cystic neoplasms. Gut. 2018 May;67(5):789–804.
- Serinelli S, Khurana KK. Intraductal papillary mucinous neoplasms of the pancreas: Cytologic-histologic correlation study and evaluation of the cytologic accuracy in identifying high-grade dysplasia/invasive adenocarcinoma. CytoJournal. 2024;21:6.




