Vezi și alte cazuri
Drenaj și necrozectomie WOPN
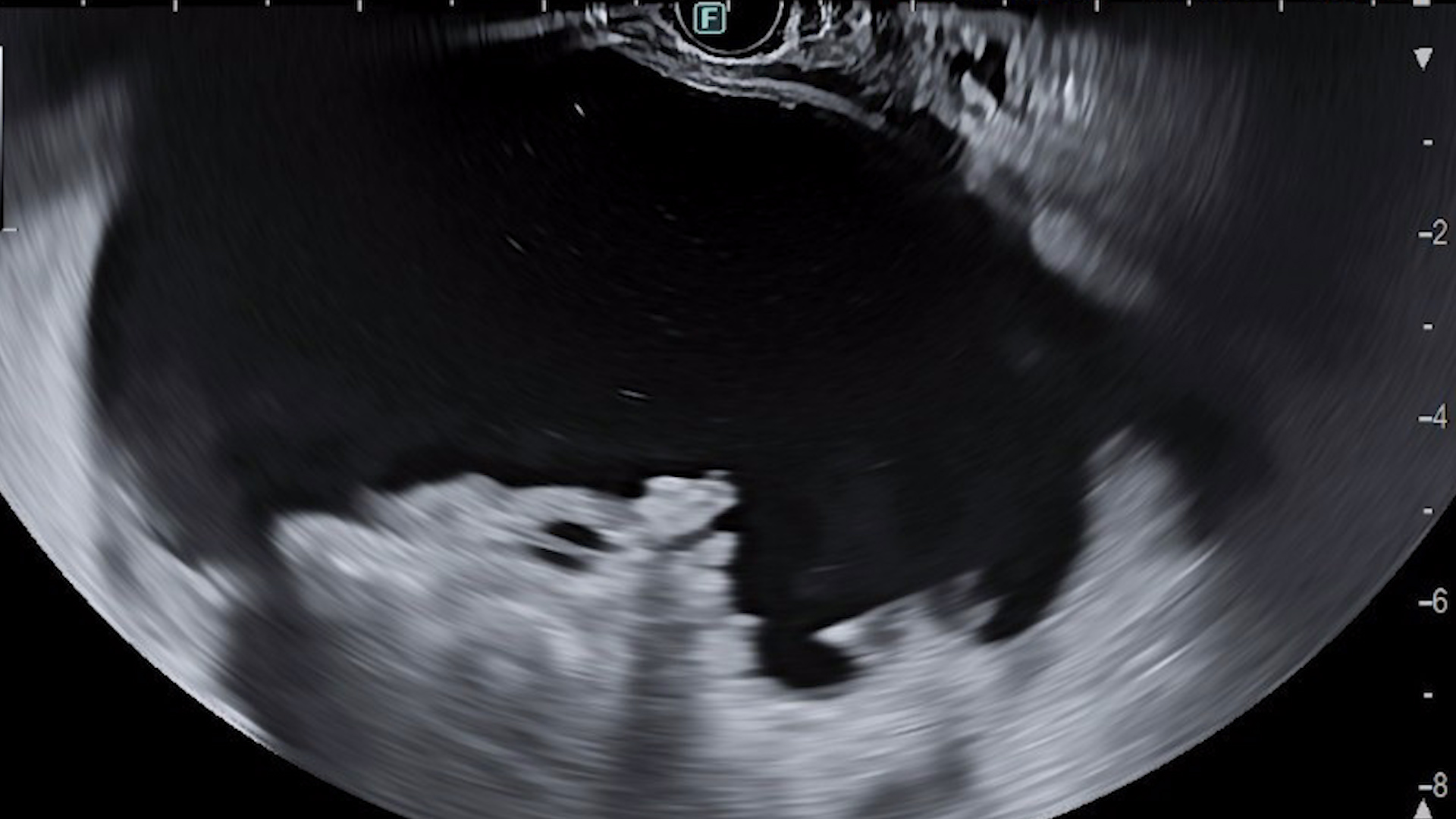
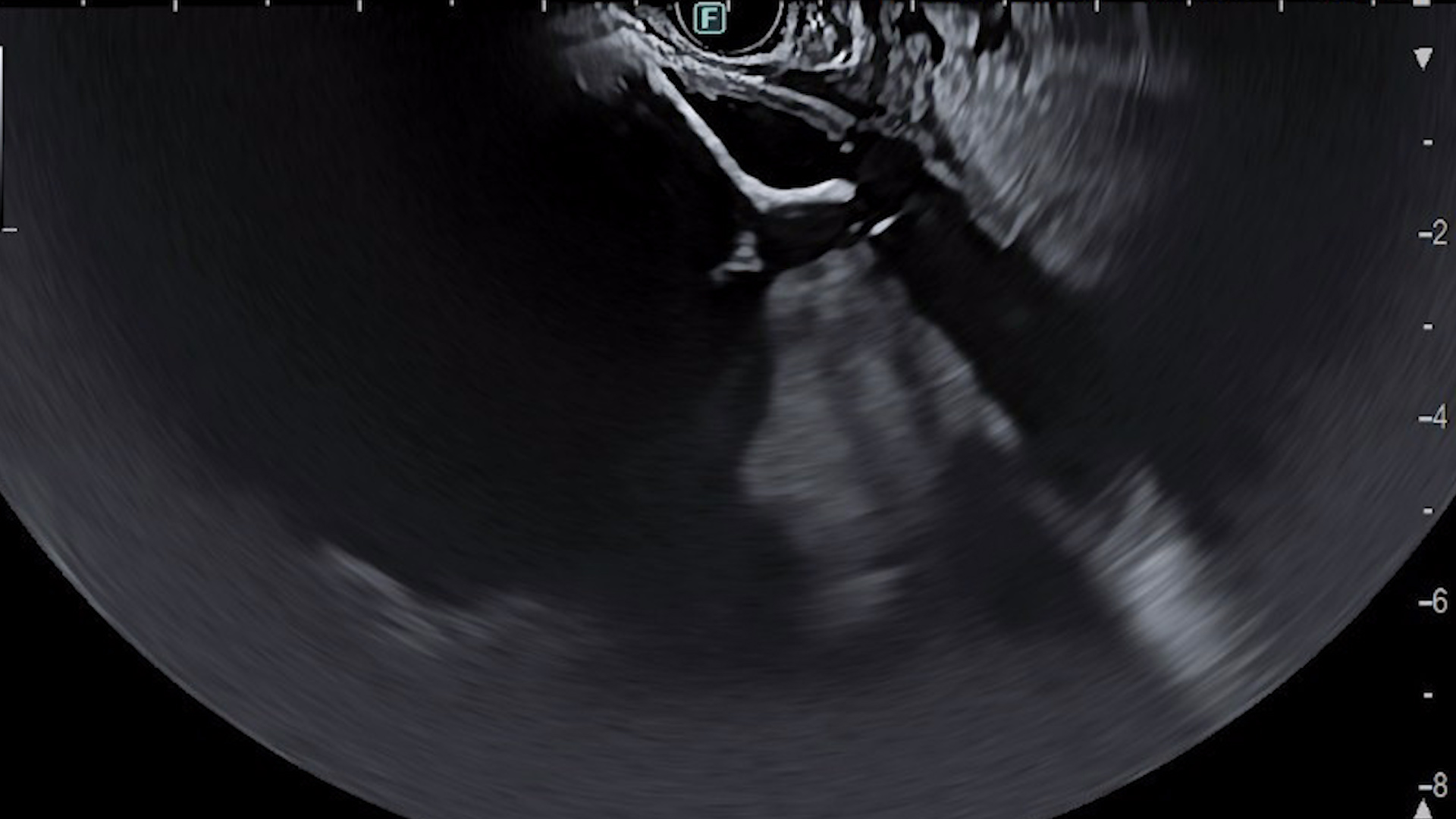
Bărbat în vârstă de 53 ani, fumător, cu un episod de pancreatită acută formă severă, de etiologie incertă, complicat cu o colecție pancreatică gigantă, compresivă la nivel gastric, cu necroze în interior (de tip walled-off pancreatic necrosis) (Fig. 1-3).
Alte afecțiuni asociate sunt reprezentate de: psoriazis vulgar și artrită psoriazică, pentru care a urmat timp de 2 ani tratament biologic cu Guselkumab, și hipertensiune arterială.
Examen clinic: leziuni psoriazice la nivel palmar, abdomen ușor dureros la palparea profundă în epigastru.
Biologic la internare: sindrom inflamator CRP = 32 mg/L, FBG 565 mg/dL, fără leucocitoză.
RMN identifică colecție peripancreatică de 12/6/7 cm la nivel cefalo-pancreatic, cu material necrotic în interior.
Drenajul ecoendoscopic:
Examinarea ecoendoscopică evidențiază colecție peripancreatică de mari dimensiuni (12/7/6 cm) cu zone hiperecogene declive, cu aspect sugestiv pentru necroză (Film 1). S-a efectuat puncție ghidată EUS cu ac FNA 19G și s-a aspirat lichid brun. Ulterior, sub ghidaj EUS și ghidaj radiologic, s-a montat transgastric stent tip LAMS (HotAXIOS, Boston Scientific) 15 mm pe fir ghid 0,035 Fr, cu drenajul a cca. 1000 mL lichid brun (Fig. 3-4). Ulterior s-a introdus un stent dublu pigtail prin stentul metalic LAMS (Fig. 5).
Evoluție post-procedurală; Necrozectomie:
Follow-up la o lună cu evoluție relativ favorabilă, pacientul prezentând ameliorarea simptomatologiei algice, regresia dimensională a colecției peripancreatice și remisia completă a componentei lichidiene, însă cu persistența unui sindrom inflamator și apariția unui episod febril la domiciliu. La momentul respectiv biologic pacientul prezenta: CRP = 25 mg/L, dar hemoculturi negative.
S-a efectuat EDS sub AG + IOT cu vizualizarea la nivelul corpului gastric a stentului metalic LAMS și a stentului de plastic dublu pigtail in situ, obturat de material necrotic. S-a extras stentul dublu pigtail cu ansă de polipectomie. S-a efectuat dilatarea cu balon CRE 15 mm a stentului metalic LAMS, cu vizualizarea cavității restante, efectuându-se necrosectomie parțială cu ansă de polipectomie (Fig. 6-7), identificându-se și necroză aderentă cu țesut pancreatic viabil inclus, ce nu a putut fi extras endoscopic.
Procedura a fost grefată de sângerare difuză din peretele colecției, pentru care s-a efectuat hemostază endoscopică eficientă cu Coagrasper. La finalul procedurii s-a introdus fir ghid și s-a montat stent dublu pigtail 10Fr prin stentul metalic. Examenul bacteriologic de la nivelul necrozei a identificat colonizare cu Pseudomonas aeruginosa și Klebsiella pneumoniae, pentru care s-a inițiat antibioterapie conform antibiogramei.
Follow-up la o săptămână post-necrosectomie a presupus reevaluare endoscopică cu accesarea cavității restante. Intracavitar s-a evidențiat necroză pancreatică restantă în cantitate mare, nonaderentă, care s-a extras cu ansă de polipectomie și plasă Roth. Ulterior s-a efectuat lavajul cavității (Fig. 8) și s-a extras stentul metalic LAMS (HotAXIOS, Boston Scientific).
Walled-off pancreatic necrosis (WOPN) suprainfectat post pancreatită acută de etiologie incertă > drenaj ecoendoscopic cu LAMS și necrozectomie etapizată.
Walled-off pancreatic necrosis (WOPN) este o complicație tardivă a pancreatitei acute, determinând în unele cazuri simptomatologie precum durere abdominală, semne și simptome de obstrucție gastro-intestinală prin compresie extrinsecă sau suprainfecție bacteriană. Drenajul transgastric ghidat ecoendoscopic prin montarea unui stent metalic transluminal tip LAMS este opțiunea terapeutică de primă intenție privind raportul risc/beneficiu în comparație cu abordul percutanat sau cura chirurgicală. Necrozectomia endoscopică reprezintă o abordare “mai agresivă” de tratament de tip step-up prin extragerea directă a conținutului necrotic de la nivelul WON.
Drenajul ecoendoscopic al colecțiilor necrotice peripancreatice (WOPN) este o alternativă minim invazivă superioară tratamentului chirurgical sau drenajului percutanat datorită rezultatelor rapide și eficienței, fiind asociată cu o rată mai scăzută a morbidității și mortalității.
- Mukai S, Sofuni A, Tsuchiya T, Tanaka R, Tonozuka R, Matsunami Y, Nagai K, Kojima H, Minami H, Hirakawa N, Asano K, Shionoya K, Hama K, Itoi T. Endoscopic Step-up Approach for Walled-off Necrosis After Acute Pancreatitis. DEN Open. 2025 Aug 25;6(1):e70188. doi: 10.1002/deo2.70188. PMID: 40860854; PMCID: PMC12375900.
- Nemoto Y, Attam R, Arain MA, Trikudanathan G, Mallery S, Beilman GJ, Freeman ML. Interventions for walled off necrosis using an algorithm based endoscopic step-up approach: Outcomes in a large cohort of patients. Pancreatology. 2017 Sep-Oct;17(5):663-668. doi: 10.1016/j.pan.2017.07.195. Epub 2017 Jul 31. PMID: 28803859.
- Pattarapuntakul T, Charoenrit T, Wong T, Netinatsunton N, Ovartlarnporn B, Yaowmaneerat T, Tubtawee T, Boonsri P, Sripongpun P. Clinical Outcomes of the Endoscopic Step-Up Approach with or without Radiology-Guided Percutaneous Drainage for Symptomatic Walled-Off Pancreatic Necrosis. Medicina (Kaunas). 2023 Mar 14;59(3):569. doi: 10.3390/medicina59030569. PMID: 36984570; PMCID: PMC10058734.
- Yuen R, Lam B, Chan SM, Yip HC, Teoh AYB. Comparison of Direct Endoscopic Necrosectomy With Endoscopic Step-Up Approach After Endoscopic Drainage of Pancreatic Walled-Off Necrosis: Systematic Review and Meta-Analysis. Dig Endosc. 2025 Dec;37(12):1286-1294. doi: 10.1111/den.70021. Epub 2025 Sep 2. PMID: 40898808.




